Bangalore Urban
08048052720

Please keep +91 or 0 before dialling the number.     Please keep +91 or 0 before dialling the number

 Bangalore Urban
08048052720

Please keep +91 or 0 before dialling the number.     Please keep +91 or 0 before dialling the number

+919686209436
Achala Dental Clinic

Achala Dental Clinic

about-cover-bg image
About Achala Dental Clinic

The Best hospital in bangalore urban

Need Trusted Second Opinion?

Not sure about your diagnosis or treatment plan? We're here to help.

Doctor's Profile Picture

SUBASH REDDY

SUBASH REDDY

MDS, PROSTHODONTIST AND IMPLANTOLOGIST
Bangalore Urban

Speciality

ROOT CANAL TREATMENT, CRONS, PEDIATRIC DENTISTRY, WISDOM TOOTH REMOVAL, IMPLANTS


Education

MDS, PROSTHODONTIST AND IMPLANTOLOGIST


Experience

25 years


Mobile

9686209436

Memberships

IDA, INDIAN PROSTHODONTIC SOCIETY

Registration No

2914-A

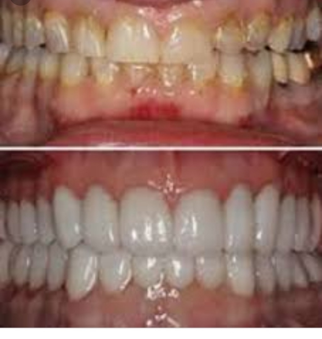
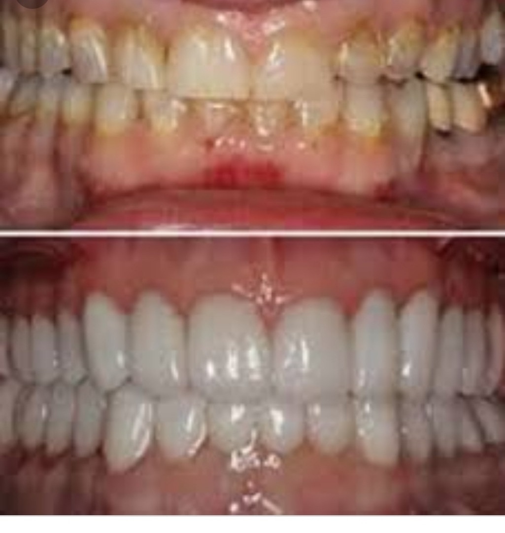
Image Gallery

Pictures That Speak

Testimonials

Doctors are really good and friendly. They analysed the complete issue and guided properly. The way they spoke made us f...

Read More
testimonial image

We visited the clinic as my wife had pain due to wisdom tooth. We had a pleasant experience with the doctors, they were ...

Read More

footerhc